שאלות תרגול למבחן בגנטיקה

שאלה 1: מה נכון לגבי מבנה הדנ”א?

  1. אדנין נקשר לתימין בשלושה קשרי מימן.
  2. בכל אורגניזם יש סוגים שונים של נוקלאוטידים.
  3. הוא מסונתז מהקצה 5’ לקצה 3’.
  4. אדנין יכול להיקשר עם תימין או גואנין.
פתרון

התשובה הנכונה היא (3).

סינתזת DNA מתרחשת תמיד בכיוון 5’←3’ - DNA פולימראז מוסיף נוקלאוטידים רק לקצה 3’-OH החופשי.

למה האחרות שגויות:

  • (א) A-T נקשרים בשני קשרי מימן; G-C נקשרים בשלושה.
  • (ב) לכל האורגניזמים אותם ארבעת סוגי הנוקלאוטידים (A, T, G, C).
  • (ד) אדנין נקשר רק לתימין (כלל ה־base pairing של ווטסון-קריק).

מקור: שיעור 1 - מבנה ה־DNA


שאלה 2: מהי דרך ההורשה הסבירה ביותר של המחלה (הנדירה) המוצגת בעץ המשפחה?

tree
  1. אוטוזומלית רצסיבית
  2. תאחיזה לכרומוזום X דומיננטית
  3. הורשה מיטוכונדריאלית
  4. אוטוזומלית דומיננטית
פתרון

התשובה הנכונה היא (4).

כיצד מזהים AD בעץ משפחה:

  • המחלה מופיעה בכל דור (הורשה אנכית) ← מתאים לדומיננטי
  • יש חולים גם בגברים וגם בנשים ← מתאים לאוטוזומלי
  • להורה חולה (עם בן/בת זוג בריא/ה) יש בערך חלק מהילדים חולים וחלק בריאים ← מתאים ל־אוטוזומלית דומיננטית (לרוב Aa × aa)

למה האחרות שגויות:

  • (א) אוטוזומלית רצסיבית - לרוב נראה הורים בריאים עם ילד חולה; כאן יש העברה רציפה מדור לדור.
  • (ב) בתאחיזה לכרומוזום X דומיננטית - אב חולה היה מעביר לכל הבנות ולשום בן; כאן יש דפוס שמתאים לאוטוזומלי.
  • (ג) הורשה מיטוכונדריאלית - אם חולה אמורה להעביר לכל ילדיה; כאן לא כל הילדים של האם החולה חולים.
מקור: שיעור 4 - דפוסי הורשה ועצי משפחה תרגול 1 - עצי משפחה

שאלה 3: עץ משפחה שמתאר מחלה תורשתית נדירה. מהי דרך ההורשה הסבירה ביותר?

tree2
  1. אוטוזומלית רצסיבית
  2. אוטוזומלית דומיננטית
  3. רצסיבית X-linked
  4. דומיננטית X-linked
פתרון

התשובה הנכונה היא (4) - הורשה דומיננטית בתאחיזה ל־X.

כיצד מזהים בעץ משפחה הורשה דומיננטית בתאחיזה ל־X:

  • המחלה מופיעה בכל דור (דפוס דומיננטי).
  • יש חולים גם בזכרים וגם בנקבות.
  • כאשר אב חולה מזדווג עם אם בריאה:
    • כל הבנות שלו צפויות להיות חולות
    • אף אחד מהבנים שלו לא יקבל את ה־X שלו ולכן לא יחלה ממנו
  • בעץ הזה רואים דפוס שמתאים להעברה דרך כרומוזום X בצורה דומיננטית, ולא דפוס אוטוזומלי רגיל.

למה האחרות שגויות:

  • (א) אוטוזומלית רצסיבית - לרוב נראה הורים בריאים עם ילדים חולים, ולעיתים המחלה “מדלגת” על דורות. כאן יש הופעה רציפה יותר שמתאימה לדומיננטי.
  • (ב) אוטוזומלית דומיננטית - יכולה להיראות דומה, אבל כאן דפוס ההעברה מתאים יותר לתאחיזה ל־X (במיוחד ההבדל בין בנים לבנות של אב חולה).
  • (ג) רצסיבית בתאחיזה ל־X - בדרך כלל נפגעים בעיקר זכרים, ונקבות חולות נדירות יותר (דורש לרוב אב חולה ואם נשאית/חולה). כאן יש הרבה נקבות חולות, מה שמתאים לדומיננטית X-linked.

טיפ לזיהוי מהיר במבחן:

  • אב חולה + כל הבנות חולות + הבנים לא ← לחשוד מיד ב־X-linked dominant.
מקור: שיעור 4 - דפוסי הורשה ועצי משפחה תרגול 1 - עצי משפחה

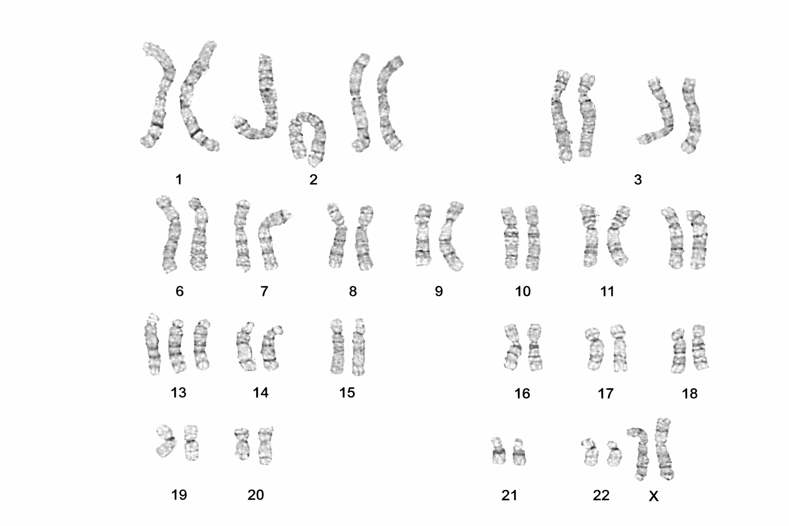
איזה שינוי כרומוזומלי בולט לעין ומה הרישום המתאים?

קריוטיפ
  1. טריזומה 13, הרישום: XX,+13,47
  2. טריזומיה 18, הרישום: XX,+13,47
  3. טריזומיה 18, הרישום: XX,+18,47
  4. טריזומיה 13, הרישום: XX,+18,46
פתרון

התשובה הנכונה היא (1).

  • טריזומיה 13, והרישום המתאים הוא 47,XX,+13.

תמונת הקריוטיפ מציגה 22 כרומוזומים אוטוזומליים וזוג כרומוזומי מין XX. ניתן לראות שבכרומוזום 13 יש טריזומיה - שלושה עותקים במקום שניים.

איך מזהים בקריוטיפ:

  • בכרומוזום 13 רואים שלושה עותקים (במקום שניים) ← טריזומיה 13
  • בכרומוזומי המין רואים XX ← מדובר בנקבה
  • לכן סך הכול הכרומוזומים הוא 47 (ולא 46)

לכן הרישום התקין הוא:

  • 47,XX,+13

למה האחרות שגויות:

  • (2) כתוב טריזומיה 18 אבל הרישום הוא +13 ← סתירה פנימית
  • (3) 47,XX,+18 ← היה מתאים רק אם היו 3 כרומוזומים 18, וזה לא מה שרואים
  • (4) 46,XX,+13 ← בלתי אפשרי; אם יש תוספת בכרומוזום 13 חייב להיות 47

טיפ לזיהוי מהיר במבחן:

  • קודם מזהים איזה כרומוזום מופיע בשלישייה
  • אחר כך מזהים XX/XY
  • ולבסוף בודקים שהמספר הכולל (46/47) מתאים לרישום
מקור: שיעור 4 - דפוסי הורשה וציטוגנטיקה תרגול קריוטיפים

שאלה 3: גנטיקאי רוצה לבדוק נוכחות של טרנסלוקציה מאוזנת בנבדק. מה השיטה המתאימה?

  1. קריוטיפ
  2. CMA
  3. ריצוף בשיטת סנגר
  4. WGS (Whole genome sequencing)
פתרון

התשובה הנכונה היא (1).

קריוטיפ מאפשר לראות את הכרומוזומים ברזולוציה של ~5 Mb ומזהה שינויים מבניים גדולים כמו טרנסלוקציות - כולל מאוזנות, שבהן אין אובדן/רווח של חומר גנטי.

למה האחרות שגויות:

  • (ב) CMA (Chromosomal Microarray) מזהה CNVs - דלישנים ודופליקציות - אך לא מזהה טרנסלוקציות מאוזנות כי אין בהן שינוי בכמות החומר.
  • (ג) ריצוף סנגר מתאים לבדיקת מוטציה נקודתית בגן ספציפי.
  • (ד) WGS תאורטית יכול, אבל לפי ChatGPT הוא לא הכלי שמקובל לבדיקת טרנסלוקציות מאוזנות מבחינה קלינית, והוא יקר ומורכב לפרשנות.

מקור: שיעור 2 - ציטוגנטיקה, קריוטיפ ו־CMA


שאלה 4: נשאים של טרנסלוקציה רוברטסונית מייצרים גמטות לא מאוזנות מבחינה כרומוזומלית - כיצד?

  1. בגלל היפרדות אקראית של הכרומוזומים ההומולוגיים בזמן המיוזה
  2. בגלל חלוקה שגויה של הכרומוזומים בזמן יצירת הגמטות
  3. בגלל אובדן של מקטעים כרומוזומליים לאחר סיום ההפריה
  4. בגלל שכפול לא תקין של החומר הגנטי בשלב הבשלת הביצית
פתרון

התשובה הנכונה היא (2) - בגלל חלוקה שגויה של הכרומוזומים בזמן יצירת הגמטות.

נשא רוברטסוני (45 כרומוזומים) יוצר 6 סוגי גמטות אפשריים בזמן מיוזה, מתוכם רק חלק מאוזנים:

גמטה כרומוזומים תוצאה לאחר הפריה
מאוזנת תקינה שני כרומוזומים רגילים פרי תקין
מאוזנת נשאית כרומוזום רוברטסוני נשא בריא
לא מאוזנת - טריזומי רוברטסוני + אחד למשל טריזומיה 21
לא מאוזנת - מונוזומי חסר כרומוזום לרוב קטלני

הבעיה: בזמן Meiosis I, כרומוזומים הומולוגיים צריכים להיפרד, אך ב־Robertsonian translocation שלושה כרומוזומים (trivalent) מתחברים יחד - ולא תמיד נפרדים בצורה תקינה.

מקור: שיעור 3 - שינויים מבניים בכרומוזומים


שאלה על RELP

RELP

מה נכון:

  1. שני האחים אינם נשאים
  2. האחות נשאית לשינוי והאח לא
  3. האח נשא והחאות לא
  4. האח הומוזיגוט חולה והאחות נשאית
פתרון

התשובה הנכונה היא (2) - האחות נשאית לשינוי והאח אינו נשא.

היגיון גנטי (AR):

  • המחלה היא אוטוזומלית רצסיבית
  • ההורים מסומנים כחצי־מושחרים ← שניהם נשאים (Aa × Aa)
  • יש ילד חולה במשפחה ← מתאים ל־aa

איך קוראים את ה־RFLP כאן (עקרון):

ב־RFLP כל אלל נותן דפוס פסים שונה:

  • אלל אחד ← פס/ים מסוימים
  • אלל שני ← פס/ים אחרים
  • נשא (הטרוזיגוט) יראה שילוב של שני הדפוסים (יותר פסים)
  • לא נשא יראה רק את הדפוס התקין

מהג’ל:

  • אחד משני האחים הלא ידועים מציג דפוס משולב (כמו נשא) ← נשא/ית
  • השני מציג דפוס של אלל אחד בלבדאינו נשא

לפי הסדר המוצג בשאלה מתקבל:

  • האחות נשאית
  • האח אינו נשא

למה האחרות שגויות בקצרה:

  • (1) שני האחים אינם נשאים - לא מתאים, כי אחד מהם מראה דפוס הטרוזיגוטי
  • (3) האח נשא והאחות אינה נשאית - הפוך למה שנראה בג’ל
  • (4) האח הומוזיגוט חולה - היה צריך דפוס שמתאים לאלל המוטנטי בלבד, וזה לא מה שמתקבל

טיפ למבחן (RFLP):

  • קודם מזהים מי הנשא לפי מספר פסים גדול יותר / שילוב פסים
  • רק אחר כך ממפים את הליינים לאנשים בעץ
מקור: שיעור 4 - דפוסי הורשה וסמנים מולקולריים תרגול 1 - עצי משפחה ו־RFLP

שאלה 5: איזה מהמצבים מתאר חצי דומיננטיות (Incomplete Dominance)?

  1. בדור ההורים עכבר שחור ועכבר לבן, ואילו כל הצאצאים אפורים
  2. בדור ההורים שני עכברים שחורים, ואילו כל הצאצים לבנים
  3. בדור ההורים עכבר שחור ועכבר לבן, ואילו כל הצאצאים לבנים
  4. בדור ההורים עכבר שחור ועכבר לבן, ואילו כל הצאצים שחורים
פתרון

התשובה הנכונה היא (1).

למה? (חצי דומיננטיות / Incomplete dominance):

במצב של חצי דומיננטיות (נקרא גם דומיננטיות חלקית):

  • בהכלאה בין שני הומוזיגוטים (למשל שחור × לבן)
  • ה־F1 (דור ההורים לצאצאים) יוצא עם פנוטיפ ביניים ← למשל לבן-אפור / אפור
  • כשמעבירים את ה־F1 בינם לבין עצמם, בדור הבא מתקבל יחס פנוטיפים של:
    • 1 שחור : 2 אפור : 1 לבן

כלומר:

  • בדור ההורים יש שחור + לבן
  • כל צאצאי F1 הם אפורים

וזה בדיוק מה שמתאר משפט (1).

למה האחרות שגויות:

  • (2) “שני ההורים שחורים וכל הצאצאים לבנים” - לא מתאים לדפוס גנטי רגיל של חצי דומיננטיות
  • (3) “כל הצאצאים לבנים” אחרי שחור × לבן - זה לא פנוטיפ ביניים
  • (4) “כל הצאצאים שחורים” - זה היה מתאים יותר לדומיננטיות מלאה של שחור, לא לחצי דומיננטיות

טיפ קצר למבחן:

  • חצי דומיננטיות = הטרוזיגוט נראה “באמצע” (לא כמו אחד ההורים)

מקור: שיעור 6 - תורשה לא מנדלית, דומיננטיות חלקית

חצי דומיננטיות (Incomplete Dominance) מתרחשת כאשר ההטרוזיגוט מציג פנוטיפ ביניים - לא זהה לאף אחד מההומוזיגוטים.

דוגמה קלאסית: פרחים אדומים (RR) × לבנים (rr) ← ורוד (Rr).

ההבדל ממנדל רגיל: במנדל, האלל הדומיננטי “מסתיר” לחלוטין את הרצסיבי. בחצי דומיננטיות - שני האללים מתבטאים בחלקם, ואלל אחד לא מספיק ל”כיסוי מלא”.

ההבדל מקו־דומיננטיות: בקו־דומיננטיות (כמו סוגי דם AB) - שני הפנוטיפים מתבטאים במלואם יחד, לא פנוטיפ ביניים.

מקור: שיעור 6 - תורשה לא מנדלית, דומיננטיות חלקית


שאלה 6: הורשה מנדלית - השלמת ריבוע פאנט

פתרון

בצאצאים הוצגו ריבועי פאנט המייצגים הכלאה של aa × AA ו־aa × Aa:

הכלאה aa × AA: ← כל הצאצאים Aa (הטרוזיגוטים בריאים/נשאים)

הכלאה aa × Aa: ← 1/2 Aa (נשאים) + 1/2 aa (חולים)

עיקרון מנדל הראשון (הפרדה): שני האללים של כל גן נפרדים בזמן יצירת הגמטות, וכל גמטה מקבלת עותק אחד בלבד.

מקור: שיעור 4 - עקרונות מנדל תרגול 1

שאלה 7: בני זוג בהריון ראשון - לבעל אחות חולה בפנילקטנוריה, לאישה אח חולה. מה הסיכוי לילד חולה?

q7
  1. 1/16
  2. 1/8
  3. 1/9
  4. 2/3
פתרון

התשובה הנכונה היא (3) - 1/9.

PKU היא אוטוזומלית רצסיבית. הורי כל אחד מבני הזוג (שאינם חולים בעצמם אך יש להם ילד חולה) חייבים להיות Aa × Aa.

שלב 1 - מה ההסתברות שהבעל נשא (Aa)?

אחותו חולה (aa), ולכן ההורים חייבים כאמור להיות Aa × Aa.

  • הורי הבעל: Aa × Aa מכאן ייתכן:
    • 1/4 AA (בריא)
    • 1/2 Aa (בריא נשא)
    • 1/4 aa (חולה)

נתון שהבעל עצמו בריא - אז הוא יכול להיות AA או Aa (בריא אבל נשא).

ההסתברות שהוא נשא בהינתן שהוא בריא היא היא כמו הסיכוי להיות בריא נשא מתוך כל הבריאים:

\[P(\text{Nasa | Given healthy}) = \frac{P(\text{Nasa})}{P(\text{Healthy})} = \frac{1/2}{1/4 + 1/2} = \frac{1/2}{3/4} = \frac{2}{3}\]

שלב 2 - אותו חישוב לאישה:

אחיה חולה, היא בריאה ← סיכוי נשאות = 2/3

שלב 3 - סיכוי לילד חולה אם שניהם נשאים:

Aa × Aa סיכוי של 1/4 לילד חולה (aa).

חישוב כולל:

\[\frac{2}{3} \times \frac{2}{3} \times \frac{1}{4} = \frac{4}{36} = \boxed{\frac{1}{9}}\]
מקור: שיעור 4 - חישובי סיכון גנטיים שיעור 5 - חישובי בייס בגנטיקה

הערה למבחן: בכל פעם שרואים “אח/אחות חולים” והאדם עצמו בריא במחלה רצסיבית, לחשוב מיד על 2/3 לנשאות (אלא אם יש מידע נוסף שמשנה את זה).


שאלה 8: זוג מגיע לייעוץ גנטי - שני אחיה של האישה חולים במחלת קנדי (X-linked). לבני הזוג 3 בנים בריאים. מה הסיכון לילד חולה בהריון הבא?

  1. 1/8
  2. 1/18
  3. 1/9
  4. 1/36
     □ ─────┬────── ◐
            │
 ┌──────────┼──────────┐
 ■          ■    prob->○ ──┬── □
                           │
                ┌──────────┼──────────┐
                □          □          □
פתרון

התשובה הנכונה היא (4) - 1/36.

מחלת קנדי היא X-linked רצסיבית - חולים הם בדרך כלל גברים ($\mathrm{X^a Y}$).

שלב 1 - האם האישה נשאית?

שני אחיה חולים ($\mathrm{X^a Y}$), הוריה לא ידועים כחולים.

  • אמה של האישה בוודאי נשאית (Carrier).
  • האישה עצמה: סיכוי נשאות = 1/2 (בת של נשאית שאינה חולה)

שלב 2 - שלושת הבנים הבריאים מעדכנים את ההסתברות (Bayes):

  נשאית ($1/2$) לא נשאית ($1/2$)
3 בנים בריאים $(1/2)^3 = 1/8$ $1$
מכפלה $1/16$ $1/2$
\[P(\text{Carrier} \mid 3 \text{ healthy boys}) = \frac{1/16}{1/16 + 1/2} = \frac{1/16}{9/16} = \frac{1}{9}\]

שלב 3 - סיכון לילד חולה בהריון הבא:

  • סיכוי שיוולד בן זכר: 1/2
  • סיכוי שהבן יחלה (אם אמו נשאית): 1/2
\[\frac{1}{9} \times \frac{1}{2} \times \frac{1}{2} = \boxed{\frac{1}{36}}\]

מקור: שיעור 5 - תורשה X-linked וחישובי בייס. יש שם פתרון מפורט יותר בדיוק לשאלה הזאת.


שאלה 9: אפיסטזיס - מתי שילוב ספציפי של גנוטיפים משני גנים יוביל לפנוטיפ?

  1. כאשר לפחות באחד משני הגנים מופיע אלל דומיננטי פעיל
  2. כאשר שני הגנים יחד יוצרים צירוף אללים הדרוש לביטוי
  3. כאשר כל אחד מהגנים פועל בנפרד ואינו תלוי בגן השני
  4. כאשר אחד הגנים עובר מוטציה אך השני מפצה על השינוי
פתרון

Epistasis (אפיסטזיס) היא אינטראקציה בין שני גנים שונים, שבה הביטוי של גן אחד משפיע על ביטויו של גן אחר.

הדוגמה הקלאסית: צבע פרחים בצמח - נדרשים שני גנים כדי לייצר צבע:

  • גן A: מייצר תרכובת ביניים
  • גן B: הופך את התרכובת לצבע סופי

רק אם לפרח יש לפחות אלל A אחד ואלל B אחד - הוא צבעוני. אחרת - לבן.

יחסי הפרדה בצאצאים (מהכלאת AaBb × AaBb):

במקום יחס מנדלי 9:3:3:1 - מקבלים 9:7 (9 צבעוני : 7 לבן).

החשיבות: זה מסביר מדוע לפעמים חציון הורים × הורים ≠ 1/4 חולים - כי תכונה יכולה לדרוש שני גנים תקינים.

מקור: שיעור 6 - אפיסטזיס ותורשה לא מנדלית


שאלה 10: מבחן קומפלמנטציה - אם רואים פרח לבן, כיצד קובעים באיזה גן ישנו ביטוי רצסיבי?

פתרון

מבחן קומפלמנטציה מאפשר לקבוע אם שני פרטים לבנים (חולים) נשאים של מוטציה באותו גן או בגנים שונים.

כיצד מבצעים:

מכליאים שני פרטים לבנים (aaBB × AAbb, לדוגמה).

פרשנות התוצאות:

תוצאה משמעות
צאצאים צבעוניים שני הורים עם מוטציות בגנים שונים - הם משלימים זה את זה (Complementation)
צאצאים לבנים שני הורים עם מוטציות באותו גן - אין קומפלמנטציה

הסבר מולקולרי: אם ההורים נשאים מוטציות בגנים שונים, הצאצאים יקבלו עותק תקין מכל גן מאחד ההורים ← פנוטיפ תקין. אם אותו גן - אין עותק תקין לאף אחד מהגנים הפגועים.

מקור: שיעור 6 - מבחן קומפלמנטציה ואפיסטזיס


מה נכון לגבי תהליך אינאקטיבציה של כרומוזום $X$?

  1. תהליך בו יש תפקיד מכריע ל RNA מסוג Long non-coding RNA
  2. תהליך שבו שניים מכרומוזומי ה־X מושתקים, וכתוצאה מכך יש חוסר מוחלט בפעילות גנים על כרומוזום X.
  3. תהליך שבו הכרומוזום X שנמצא אצל האב תמיד מושתק, בעוד שלכרומוזום X של האם יש תמיד פעילות מלאה
  4. תהליך שבו כרומוזום X מושתק רק בתאים ממערכת החיסון כדי למנוע תגובה אימונית
פתרון

התשובה הנכונה היא (1).

למה (עיקרון האינאקטיבציה של כרומוזום X):

באינאקטיבציה של כרומוזום X (בנקבות) יש תפקיד מרכזי ל־RNA לא־מקודד ארוך (lncRNA), בעיקר XIST:

  • XIST משועתק מהכרומוזום X שאמור לעבור השתקה
  • ה־RNA הזה מצפה (coats) את הכרומוזום
  • הוא מגייס חלבונים/קומפלקסים שמבצעים שינויים אפיגנטיים (כמו דחיסת כרומטין)
  • כך הכרומוזום הופך ל־Barr body ומרבית הגנים עליו מושתקים

לכן ניסוח (1) נכון: יש תפקיד מרכזי ל־RNA מסוג Long non-coding RNA.

למה האחרות שגויות:

  • (2) לא נכון - השתקת X היא לא מצב של “חוסר מוחלט” בפעילות גנים על כרומוזום X; יש גנים שבורחים מההשתקה (escape).
  • (3) לא מדויק/שגוי - ההשתקה אינה נקבעת לפי “X מהאב תמיד מושתק ו־X מהאם פעיל”. ברוב הרקמות בשליה/עובר האדם ההשתקה היא לרוב אקראית (random) בתאים עובריים מוקדמים.
  • (4) לא נכון - זה לא מתרחש רק בתאים ממערכת החיסון; זו תופעה כללית בתאי גוף נקביים.

טיפ למבחן:

  • רואה “אינאקטיבציית X” + “RNA” ← לחשוד מיד ב־XIST (lncRNA)

מקור: שיעור 5: תורשה על כרומוזום X ו־Y

דור פסקל